Graftless Full Arch
Best for multiple missing teeth or loose dentures. We place implants in stronger bone areas and give fixed teeth for suitable cases. Local anesthesia keeps you comfortable during treatment.
Get dental implants even with low bone. Advanced techniques avoid bone grafting and reduce treatment time.
Get fixed teeth without bone grafting in suitable cases. Simple plan. Comfortable procedure. Clear recovery.
Best for multiple missing teeth or loose dentures. We place implants in stronger bone areas and give fixed teeth for suitable cases. Local anesthesia keeps you comfortable during treatment.
For severe upper jaw bone loss. Implants anchor in the cheekbone, so many patients can avoid bone grafting. Designed for strong support and faster treatment for suitable cases.
For the back upper jaw. These implants use strong bone at the back to support fixed teeth. This can reduce the need for sinus lift in suitable cases.
For advanced bone loss. Basal implants anchor in dense cortical bone for strong stability. Suitable cases may get fixed teeth faster with fewer surgical steps.
You may feel scared about pain or side effects. We keep the process calm and controlled. You get anesthesia for comfort. You get clear instructions for recovery. Most patients manage well with simple medication and rest.
Many patients think they must do bone grafting first. Some cases can avoid that with graftless implants. You get a safety first plan, comfort focused treatment, and a clear timeline. Every case is different, so we confirm suitability with a 3D scan before treatment.
Consultant Prosthodontics and Implantology
BDS, DDT, MDSc, JB, PDD
Dr Nabeel is known for calm, gentle care in complex implant cases. He explains every step before treatment starts, so nervous patients feel relaxed and in control.
He focuses on
Your safety comes first. We confirm your suitability with a 3D scan and medical review. We also explain possible side effects like temporary swelling or soreness, and how we manage them.
Real feedback from patients who trusted Dr Nabeel Safwat Al Nahass for complex implant and graftless full arch cases.
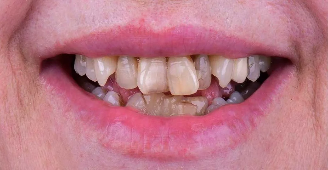
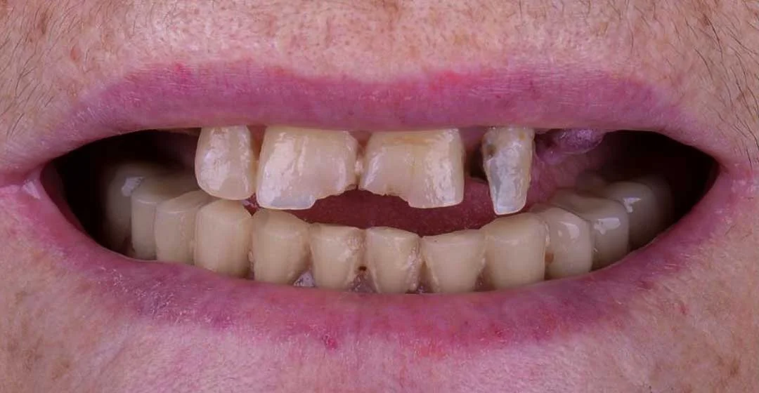
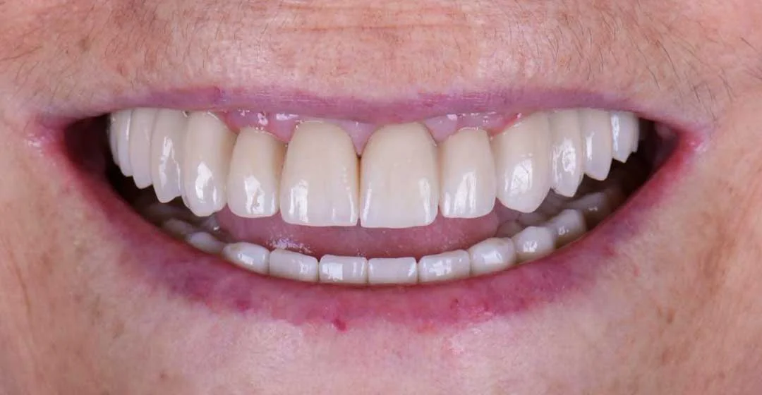
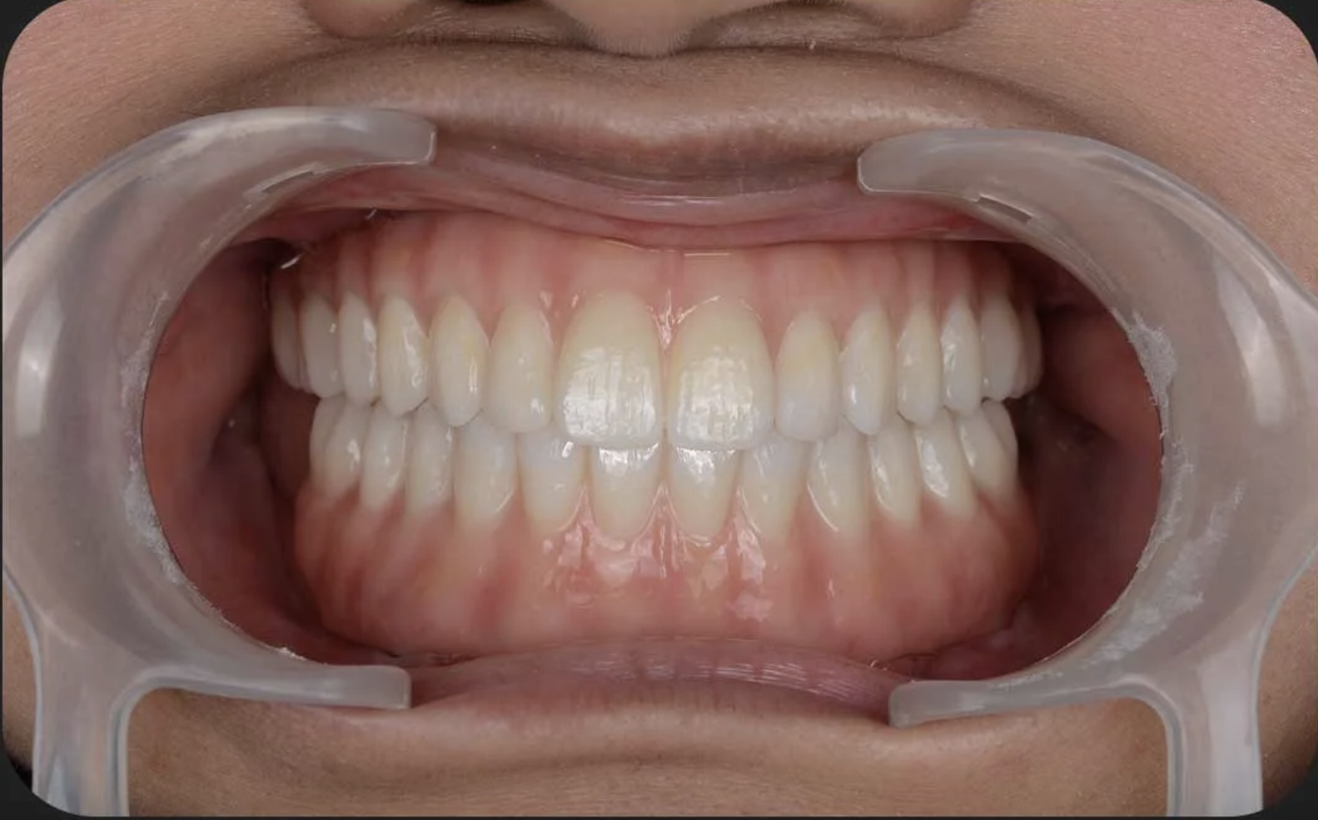
Real full mouth rehabilitation and graftless implant cases treated by Dr Nabeel.
You do not need to suffer for a new smile. The procedure is done with anesthesia for comfort. Most patients experience mild swelling or soreness only.
Local anesthesia is used, so you do not feel pain during the procedure.
Fewer surgical steps in suitable cases can mean easier recovery and less discomfort.
Suitable full arch cases can leave with fixed teeth the same day.
We guide you before and after surgery, and you can contact us if you feel discomfort.
Share your details and our team will call you back to confirm the best time and explain your graftless implant options.
Choose the most convenient clinic to book your graftless implant consultation.
Sheikh Khalifa Bin Zayed St - 2 Al Nuaimia - sky Tower 4th floor
Hamarain Center - Sultan Al Kabeer Rd - Seih Al Araibi - Ras Al Khaimah - UAE
Clinic 401, SARH AL EMARAT - Office Tower Corniche St - Al Majaz 3 - Al Majaz - Sharjah
32nd Floor Sharjah busines avenue - CBI Bank Tower
Al majaz northern PK St - Al majaz 2 - Sharjah